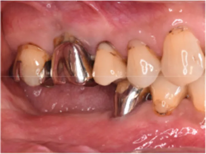
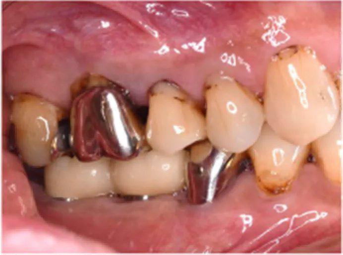
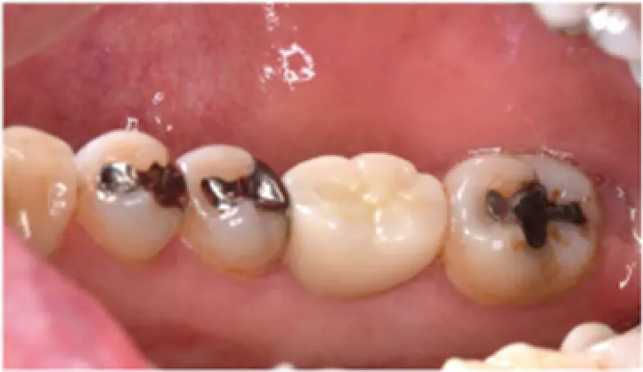
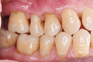
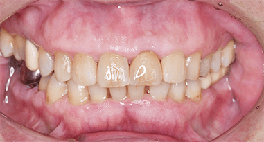
セラミッククラウン等による治療の症例
初診時
治療後
| 治療期間 | 約3~6か月 |
|---|---|
| 治療内容 |
歯周病の治療後、上下の適合の悪い修復物を除去。 その後、白い修復物により治療を行った。 |
| 保険の有無 | 自由診療を含む |
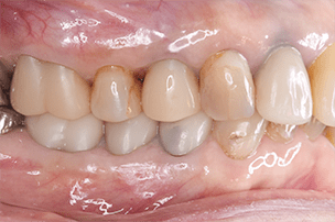
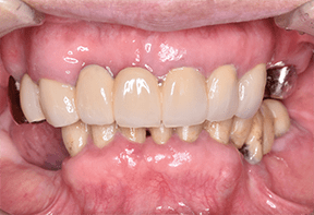
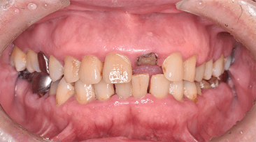
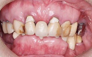
歯周病治療および審美を改善した症例
初診時
治療後
| 治療期間 | 約12か月 |
|---|---|
| 治療内容 |
適合の悪い修復物を除去、仮歯を装着。その後、歯周外科手術により 上下顎前歯部の歯肉形態を改善し、最終修復物により治療を行った。 |
| 保険の有無 | 自由診療を含む |
歯肉退縮を改善した症例
初診時
治療後
| 治療期間 | 約2か月 |
|---|---|
| 治療内容 |
歯周病の治療後、歯周外科手術により 歯肉退縮の改善を行った。 |
| 保険の有無 | 自由診療を含む |
限局矯正およびセラミッククラウンによる治療の症例
初診時
治療後
| 治療期間 | 約3~6か月 |
|---|---|
| 治療内容 |
歯周病の治療後、左上の前歯に限局矯正を行い、 白い修復物により治療を行った。 |
| 保険の有無 | 自由診療を含む |
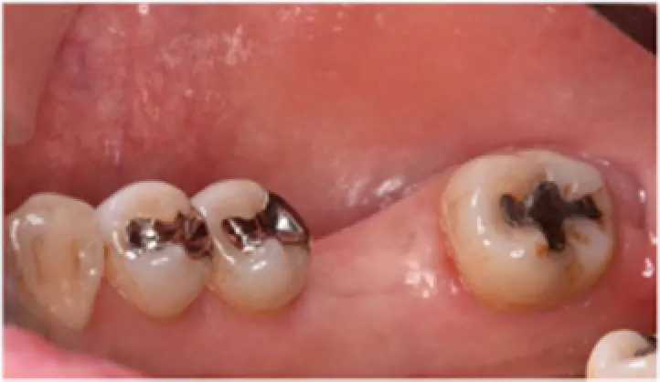
インプラント治療の症例
★インプラント1本埋入
★インプラント2本埋入
初診時
治療後
初診時
治療後
| 治療期間 | 約5~8か月 |
|---|---|
| 治療内容 | 歯周病の治療後、右下の奥歯にインプラント治療を行った。 |
| 保険の有無 | 自由診療を含む |

